形態(tài)病理平臺
當前位置:首頁 > 科研服務> 形態(tài)病理平臺> 病理切片分析
送檢樣本經多聚甲醛固定,固定狀態(tài)良好后,嚴格按照本單位病理實驗檢查sop程序進行修剪,脫水、包埋、切片、染色、封片z后鏡檢合格的樣片。
需要提供
1.動物組織:處死動物后立即取材,生理鹽水沖洗表面,4%的多聚甲醛或者10%的福爾馬林固定,一般組織固定48h左右進行包埋z好(盡量不要固定過久),大小不超過1cm*1cm*0.5cm,裝組織的管子一定要比組織大(避免擠壓影響組織形態(tài)),固定液是樣品體積的5倍以上,以保證充分固定,封口膜封好避免運輸過程中固定液灑出。
2.植物組織:新鮮取材后固定于FAA固定液中,大小不超過1cm*1cm*0.5cm,如果組織懸浮于固定液上,可以抽真空使其下沉。
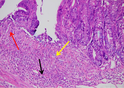
腸組織整體結構異常,組織可見較多粘膜上皮細胞潰瘍變性壞死,如圖黃色箭頭所示,組織壞死處可見少量纖維結締組織增生,如圖紅色箭頭所示,組織粘膜層杯狀細胞數量明顯減少,組織可見大量炎癥細胞浸潤,炎癥細胞累積組織全層,如圖黑色箭頭所示:

SERVICE
科研服務18537125967
share
知識分享